Ginger is a widely used ingredient in our kitchen. Apart from its use as a spice for dishes, ginger also offers many miraculous benefits for the skin.
Autumn is the perfect time to express your personal touch through distinctive fragrance scents. Let's take a look at these 9 fragrances for the fall season!
Monochromatic makeup is a trend that many Vietnamese celebrities are embracing and absolutely loving. Let's delve into what Monochromatic makeup is all about.
Are you looking for the best animated ASMR videos on YouTube? Well, look no further! We've compiled a list of the top ASMR animations that are sure to give you tingles.
Featured
What is ASMR personal attention? Top 10 ASMR personal attention videos with high views
Administrator - 0
What is ASMR personal attention and what makes it unique in the ASMR genre? Let's discover more about the most viewed ASMR personal attention videos.
The arrival of Tet and the coming of spring is often a time for us to refresh the electronic devices in our homes. One of the most popular methods is changing the desktop wallpaper.
Featured
The Secret to Unlocking Flawless, Youthful Skin: 4 Essential Tips for a Glowing Complexion
Administrator - 0
Spend a few minutes each week applying a homemade face mask made from pineapple juice and coconut oil, or fresh milk and tomatoes, or red bean powder and lime... and you will see your skin becoming smooth, radiant, and youthful without the need for moisturizers.
Featured
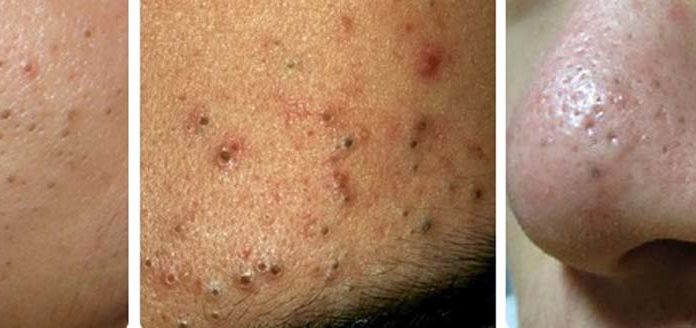
The 5 Most Common Types of Acne and Effective Treatment Methods You Should Know
Administrator - 0
Acne, blackheads, whiteheads, pustules, and cystic acne are the most common types of acne that many people struggle with. In this article, we will explore effective treatment methods for each type of acne. Let's delve into it!
Calorie-free foods can be a great support for everyone in their weight loss journey. Let's explore some calorie-free foods right below!
Featured
Learn Selena Gomez’s Morning Routine for Maintaining Fitness and Health with Ginger Water
Administrator - 0
Did you know that ginger has the ability to improve digestion and boost the immune system? Take a cue from Selena Gomez and start your morning off with a refreshing glass of ginger water for a healthy body!
Most popular
- Advertisement -
Recent posts
Most popular
- Advertisement -
Recent posts
- Advertisement -







































