Tag: dental health
The Tooth Decay Troubles: Uncovering the Causes and Prevention for Little Ones’ Dental Health
Child tooth decay is a prevalent issue, and understanding its causes is essential for prevention. Join us as we delve into the factors contributing to this problem and explore ways to protect your little one's dental health. It's time to empower yourself with knowledge and give your children the smile they deserve.
Is Coboté Mouthwash Any Good?
Alongside the familiar mouthwash, Coboté oil mouthwash is a relatively novel product for many. To understand whether Coboté oil mouthwash is beneficial, let's delve into an insightful exploration of this intriguing oral care solution.
4 Uses of Orange Peel You Should Know
The unique thing about orange peels is that they contain certain elements that the flesh of the orange does not. In particular, orange peels have flavonoids, which are antioxidants that can prevent cancer and other diseases.
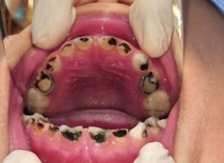
Addicted to a popular drink, 14-year-old boy almost loses his entire set of teeth
Carbonated drinks often appeal to many people, especially children. However, these types of beverages are not at all beneficial for one's health. A young boy nearly lost all of his teeth due to consuming them.
When Should You Replace Your Toothbrush?
Are you due for a new toothbrush? Don't wait until it's worn out or discolored - now is the time to change your brush!


































